Золотая награда Серебряная награда Бронзовая награда
Москва
  • Руновский пер. д. 11/13
  • Новая Басманная ул, д. 29 стр. 1
+7 495 229-14-24 Ежедневно с 9:00 до 21:00
Каган Михаил Леонидович

Каган Михаил Леонидович

Врач-стоматолог-ортопед, генеральный директор, главный врач

Помогает при:

  • Полном или частичном отсутствии зубов
  • Эстетических деффектах
  • Частичном или полном разрушении зуба
  • Необходимости замены устаревших или некомфортных протезов
Стаж 32 года Новокузнецкая, Красные ворота, Бауманская, Третьяковская, Комсомольская Отзывы пациентов →

О специалисте

Сфера клинических интересов — ортопедия. Обладает сертификатами международных курсов повышения квалификации и семинаров

Образование

2020 г. – Удостоверение оповышении квалификации организация здравоохранения и общественное здоровье от ООО «Прогопрофильная академия развития и технологий»

2019 г. – Сертификат организация здравоохранения и общественное здоровье

2006 г. – Диплом о профессиональной переподготовке организация здравоохранения и общественное здоровье от ГОУВПО ММА им. И.М. Сеченова Федерального агентства по здравоохранению и социальному развитию

1994 г. – Диплом специалиста врач-стоматолог ординатура стоматология ортопедическая в Московском медицинском стоматологическом институт имени Н.А. Семашко

Дипломы и сертификаты

Наши работы

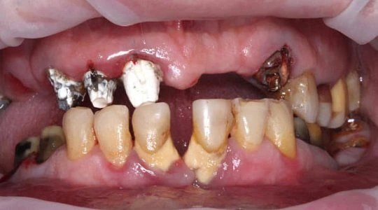
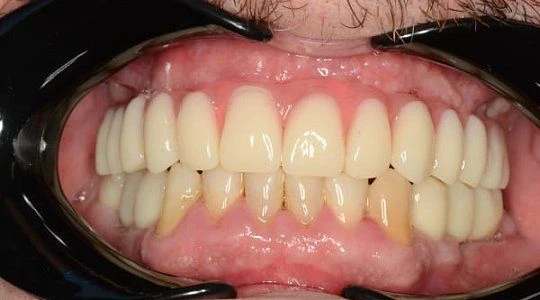
До лечения До лечения
После лечения После лечения

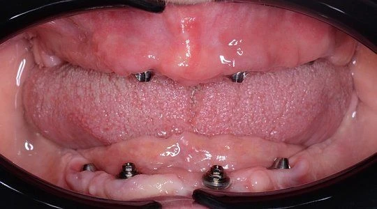
ALL-ON-4

Лечение

Проведенное лечение: Проведена комплексная реабилитация по протоколу All-on-4® (все на четырех). Этапы работы: 1. Диагностика и планирование: Проведена компьютерная томография (КТ), смоделирован результат лечения. 2. Хирургический этап: В челюстную кость под определенными углами были установлены 4 титановых имплантата на каждой челюсти. Задние имплантаты установлены под наклоном, что позволило обойти анатомические структуры (например, гайморовы пазухи) и избежать сложных операций по наращиванию кости. 3. Ортопедический этап: В тот же день или в ближайшие дни после операции на имплантаты была фиксирована несъемная адаптационная протезная конструкция из акриловой пластмассы с искусственными деснами. 4. Финальный этап (не показан на фото): Через 3-6 месяцев, после полного приживления имплантатов, адаптационный протез был заменен на постоянный — более легкий, прочный и эстетичный, обычно из диоксида циркония или металлокерамики. Результат (видны на фото "После"): · Функциональный: Полное восстановление жевательной функции. · Эстетический: Воссоздан естественный контур губ и улыбки, гармоничные пропорции лица. · Психологический: Пациент получил возможность уверенно улыбаться, говорить и питаться без ограничений. Ключевое преимущество метода All-on-4: Быстрое решение сложной проблемы с минимальным хирургическим вмешательством и возможностью получить новую улыбку за короткий срок.
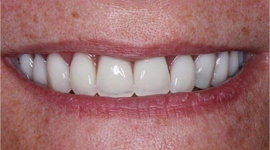
До лечения До лечения
После лечения После лечения

ALL-ON-4

Лечение

План лечения: В связи с недостатком объема кости и нежеланием пациента выполнять сложную костную пластику, было принято решение о проведении одноэтапной имплантации с немедленной нагрузкой по протоколу All-on-4®. Ход лечения: 1. После компьютерной томографии (КТ) и 3D-планирования были определены оптимальные позиции для установки имплантатов. 2. В ходе одной хирургической операции в беззубую челюсть были установлены четыре дентальных имплантата: два в переднем отделе (вертикально) и два в области жевательных зубов (под углом до 45°). Угловая установка позволила обойти зоны атрофии и использовать доступный объем кости, избежав синус-лифтинга. 3. В тот же день, сразу после установки имплантатов, на них была зафиксирована временная акриловая несъемная конструкция. Пациентка ушла из клиники с новой улыбкой и возможностью жевать уже через несколько часов после операции. 4. В течение периода остеоинтеграции (4-6 месяцев) пациентка привыкала к новой конструкции, функция и эстетика были восстановлены. 5. После полного приживления имплантатов временный протез был заменен на окончательный, выполненный из диоксида циркония или прочного акрила с индивидуальным подбором цвета и формы зубов. Результат (на фото): · Слева («До»): Характерный вид при полной адентии — укороченная верхняя губа, отсутствие поддержки мягких тканей. · Справа («После»): Полностью восстановленная эстетика. Видна естественная поддержка губы и щеки, создан гармоничный контур улыбки. Пациентка получила несъемную, стабильную и эстетичную конструкцию, которая позволила вернуться к полноценной жизни: свободно улыбаться, общаться и питаться без ограничений. Вывод: Протокол All-on-4® доказал свою эффективность как оптимальное решение для быстрой, предсказуемой и малотравматичной реабилитации пациентов с полным отсутствием зубов.
До лечения До лечения
После лечения После лечения

ALL-ON-4

Лечение

Проведенное лечение:
Была применена прогрессивная методика одноэтапной имплантации с немедленной нагрузкой All-on-4®.

· Планирование: На основе компьютерной томографии (КТ) проведено 3D-планирование с точным определением позиций для имплантатов с учетом анатомии и степени атрофии кости.
· Хирургический этап: В ходе одной операции в беззубую челюсть установлены 4 дентальных имплантата по особой схеме: два прямых в переднем отделе и два дистальных имплантата установлены под углом. Это позволило обойти анатомические структуры (такие как гайморова пазуха или нерв) и использовать доступные объемы костной ткани, избежав сложных костнопластических операций.
· Ортопедический этап: В тот же день или в течение 24-72 часов после операции на установленные имплантаты фиксирован несъемный адаптационный протез из акриловой пластмассы с моментальной нагрузкой. Это позволило сразу восстановить эстетику и базовую жевательную функцию.
---
Заключение: Данный клинический случай наглядно демонстрирует, как технология All-on-4 позволяет в кратчайшие сроки, минимально инвазивно и предсказуемо решить сложную проблему полного отсутствия зубов даже при выраженной атрофии кости, обеспечивая не только анатомическое и функциональное, но и глубокое психологическое восстановление пациента.
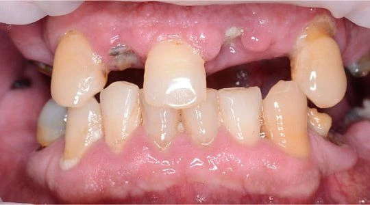
До лечения До лечения
После лечения После лечения

ALL-ON-4

Лечение

Что было проведено (этапы лечения в «Доктор Смайл»):

1. Диагностика и 3D-планирование: Проведена компьютерная томография (КТ), создана виртуальная 3D-модель челюсти. Хирург и ортопед точно спланировали позиции для 4 имплантатов на каждую челюсть.

2. Хирургический этап: За один визит в условиях повышенного комфорта (седация) были атравматично установлены 4 дентальных имплантата по особой схеме: два в зоне улыбки и два в боковых отделах под углом для обхода анатомических ограничений.

3. Немедленная нагрузка: В тот же день или на следующие сутки на имплантаты был зафиксирован временный, но полностью функциональный и эстетичный адаптационный несъемный протез из акриловой пластмассы. Пациент ушел из клиники с новыми зубами.



До лечения До лечения
После лечения После лечения

All-on-4

Лечение

На верхней и нижней челюсти установлены имплантаты Nobel, по протоколу All-on-4. Одномоментно имплантаты нагрузить не получилось из-за невысоких торков, на период интеграции были сделаны полные съемные пластиночные протезы на верхнюю и нижнюю челюсти.

После интеграции имплантатов изготовлены условно-съемные протезы на верхнюю и нижнюю челюсти с армированием, гарнитурные зубы Candulor, пластмасса Candulor

До лечения До лечения
После лечения После лечения

Протезирование зубов

До лечения До лечения
После лечения После лечения

ALL-ON-4

Уважаем вашу конфиденциальность

Мы используем файлы cookie и метрические программы, чтобы сделать сайт удобнее для вас. Нажимая «Принять все», вы соглашаетесь на их использование в соответствии с Политикой обработки файлов cookie.

Вы можете настроить cookie по своему вкусу

Как мы обрабатываем ваши данные

Хотите больше узнать о том, как мы обрабатываем ваши данные? Ознакомьтесь с нашей Политикой обработки файлов cookie и Политикой конфиденциальности.

Настройка cookie

Настройте cookie по своему вкусу! Выберите нужные настройки, кроме технических: без них сайт не заработает, как утро без кофе. Мы запомним ваш выбор на год, а потом попросим обновить его.

Эти файлы cookie необходимы для правильной работы сайта и его основных функций (например, навигация, сохранение сессии, работа форм). Без них сайт не сможет функционировать должным образом. Они не собирают информацию для маркетинга или отслеживания. Этот тип cookie нельзя отключить.

Эти файлы cookie позволяют нам собирать информацию о том, как посетители используют наш сайт (например, какие страницы посещают чаще, сколько времени проводят на сайте, возникают ли ошибки). Эта информация собирается в обезличенном виде и используется для анализа и улучшения работы сайта. Эти cookie активны только с вашего согласия.

Эти файлы cookie помогают отслеживать активность пользователей нашего сайта и использовать эти данные для эффективного размещения рекламы. Эти cookie активны только с вашего согласия.