Коронки E-max
От 7 до 28 лет
Гарантия 15 лет
Всего 2 визита

От 7 до 28 лет
Гарантия 15 лет
Всего 2 визита
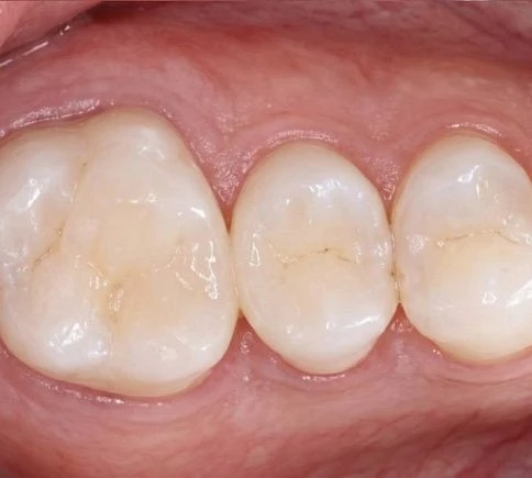
Коронки Е-max — это новый подход к протезированию зубов. Керамические безметалловые коронки имеют повышенную прочность и прекрасные эстетические свойства, поэтому их рекомендуют для реставрации передних зубов (зоны улыбки). Для изготовления коронок на зуб Е-max используются специальные блоки-заготовки, из которых по индивидуальным параметрам вытачивают микропротез. Стоматологи-ортопеды клиники «Доктор Смайл» создают модели протезов на компьютере, что повышает точность результата.
Безметалловые коронки Е-max изготавливаются из качественной стеклокерамики (дисиликата лития). Этот высокопрочный материал не вызывает раздражения и аллергии, и отличается длительным сроком службы. Такие протезы выглядят натурально, повторяя полупрозрачность и оттенок естественной эмали.
Виды коронок Е-max
Коронки E-мax Рress
Стеклокерамическая основа для таких коронок создана путем прессования под высоким давлением, в специальной печи. После обработки материал приобретает прочность до 530 мегапаскалей, поэтому хорошо выдерживает повышенные нагрузки и отличается длительным сроком службы. Коронки отличаются плотной и однородной структурой без вкраплений.
Такие микропротезы можно ставить на жевательные зубы. Часто их используют для установки на импланты.
Недостатки — меньшая точность и прозрачность, чем у коронок, изготовленных методом фрезеровки.
Керамические коронки Е-max CAD
Микропротезы изготавливают с помощью фрезерного станка с программной технологией CAD/CAM (по цифровой 3D-модели).
Цельнокерамическую коронку Е-max CAD изготавливают следующим образом:
- Станок вытачивает микропротез, точно повторяющий цифровую модель, из цельного блока.
- После изготовления монолитной конструкции поверхность покрывают прессованной керамикой высокого качества. Это позволяет полностью воссоздать структуру натуральной эмали.
Технология обеспечивает полупрозрачность и оттенок натуральной эмали, поэтому используется для реставрации единичных моляров, резцов и премоляров, участвующих в улыбке.
Кроме того, коронки E-max CAD показывают более высокую степень прилегания в области шейки зуба. При правильной установке под протез не попадают бактерии, что увеличивает срок службы и сводит к минимуму вероятность осложнений.
Недостатки: для изготовления коронок методом CAD нужно больше времени, поэтому они не подходят для срочного протезирования.
Преимущества коронок Е-мах
Керамические коронки Е-max имеют множество преимуществ для пациентов:

Показания и противопоказания
В клинике «Доктор Смайл» коронки Е-мах используются в следующих случаях:
- реставрация зуба в зоне улыбки при повреждении, кариесе и сколах;
- изготовление мостовидной несъемной конструкции;
- эстетическая реставрация винирами или люминирами;
- имплантация;
- С помощью коронок Е-мах можно как скрыть потемнения и сколы на эмали, так и полностью восстановить сильно разрушенный или отсутствующий зуб.
Протезирование можно выполнять пациентам с 18 лет. Наши стоматологи не рекомендуют коронки Е-мах при бруксизме и для съемных зубных протезов. В этих случаях специалисты нашей клиники подберут более эффективный метод восстановления.
Получили звание «Лучшая стоматология России»
Входим в топ-30 лучших стоматологий Москвы
Надежность и качество подтверждены СтАР
Рассрочка без переплат
Поддержка пациентов 24/7
Этапы установки
На этапе подготовки к протезированию рекомендованы диагностика, лечение кариеса и заболеваний десен, а также профессиональная чистка, которые не включены в стоимость коронок Е-мах. Наши пациенты проходят обследование на современном компьютерном оборудовании, что позволяет выявить любые осложнения и противопоказания.
В большинстве случаев все этапы протезирования, включая диагностику, лечение кариозных зубов, изготовление и установку коронок Е-мах, занимают в общей сложности не более 2 недель.
Основные этапы установки Е-max:


Почему вы должны выбрать именно нашу клинику
Е-мах — это современный метод протезирования, который требует точности и опыта врача. Наши специалисты регулярно повышают квалификацию, изучают и внедряют новые методы лечения и реставрации зубов, сотрудничают напрямую с производителями стоматологического оборудования.
Протезирование Е-мах в клинике «Доктор Смайл» имеет ряд преимуществ:
- мы работаем только на сертифицированном оборудовании (внутриротовой сканер, 3D томограф, дентальный микроскоп при лечении кариеса);
- используем качественные материалы для лечения и протезирования;
- предлагаем срочное изготовление и установку коронок или виниров Е-мах за 1-2 посещения клиники (при отсутствии противопоказаний);
- внимательно относимся к здоровью пациента, строго соблюдаем требования к стерильности, используем только одноразовые расходные материалы;
- применяем качественную анестезию, что позволяет провести протезирование без боли, с минимальным дискомфортом.
Клиника «Доктор Смайл» предлагает доступную стоимость коронок Е-max, возможность протезирования в рассрочку и удобные способы оплаты. Мы работаем без выходных, принимаем по предварительной записи и с острой болью.
98% пациентов
Нас рекомендуют
Чем коронки Е-max отличаются от объемных керамических или металлокерамики?
Е-max не содержат металлических элементов, имеют минимальный вес и не нагружают корень зуба. Они равномерно распределяют нагрузку и более комфортны при использовании.
Правда ли, что Е-max прочнее, чем цирконий?
Коронки Е-max имеют более высокую прочность, чем циркониевые, поэтому идеально подходят для протезирования жевательных зубов, изготовления мостовидных конструкций в зоне улыбки.
Можно ли ставить Е-max на жевательные зубы или только передние?
Безметаллические коронки Е-мах можно устанавливать в любой части зубного ряда. При правильном изготовлении и фиксации они выдерживают высокую нагрузку, не накапливают пищевой налет и бактерии, не провоцируют воспаление слизистых оболочек.
Сколько лет реально прослужит коронка Е-max без замены?
При соблюдении рекомендаций стоматолога Е-max могут служить более 10-15 лет без замены. На них не образуются сколы при употреблении твердых продуктов, не накапливается пищевой пигмент, не появляются темные пятна.
Будет ли заметна разница между Е-max и натуральными зубами при улыбке?
Наши специалисты внимательно подходят к подготовке и подбирают оттенок коронки, идеально повторяющий натуральную эмаль пациента. При правильном изготовлении и установке отличить искусственную коронку от натурального зуба невозможно, и удается полностью восстановить эстетику улыбки.
Почему коронки Е-max дороже и действительно ли цена оправдана?
Протезирование Е-max занимает минимум времени. Компьютерное оборудование позволяет создать микропротез с точным прилеганием, полностью воссоздать форму разрушенного кариесом зуба. Это обеспечивает комфорт при жевании и разговоре, позволяет на длительное время забыть о проблемах с зубами.
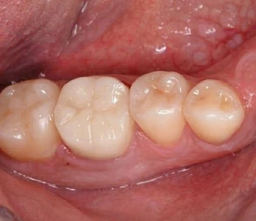
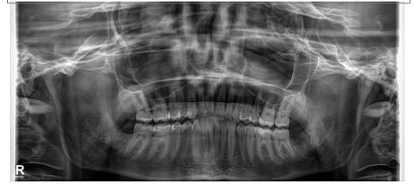
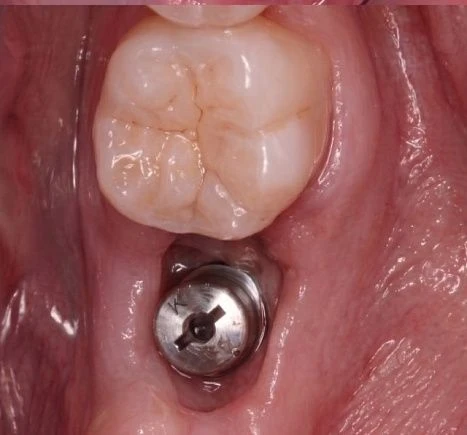
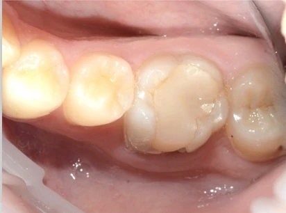
Наши работы
Ответы на вопросы