Микропротезирование зубов
22 года
92% пациентов

22 года
92% пациентов
Об услуге
Микропротезирование зубов представляет собой один из способов устранения дефекта, образование которого вызвано различными причинами. Это реставрация целостности зуба с помощью микропротеза, изготавливаемого индивидуально для каждого пациента. Методика является щадящей, т.к. сводит к минимуму воздействие на мягкие и твердые ткани полости рта, а также сокращается время восстановления разрушенной зубной единицы.
Методика применяется при невозможности сохранения эстетики с помощью пломбирования. При этом установка протезной конструкции нецелесообразна.

Получили звание «Лучшая стоматология России»
Входим в топ-30 лучших стоматологий Москвы
Надежность и качество подтверждены СтАР
О технологии
Особенностью микропротезирования является сохранение зубных единиц, эстетику которых уже, казалось бы, невозможно восстановить. Причем, отсутствует необходимость в их препарировании или допускается минимальная обработка. Находящиеся рядом зубы также не подвергаются обтачиванию.
Для реставрации дефективных участков зубов применяются микропротезы, размер которых определяется степенью разрушения единиц. Ортопедические конструкции изготавливают из различных материалов. Среди них: керамика, пластик, композитные материалы, металл.

Бесплатная консультация
Преимущества микропротезирования
Микропротезирование в стоматологии имеет следующие преимущества:

Рассрочка без переплат
Поддержка пациентов 24/7
Виды микропротезов
Какой из видов микропротезирования потребуется, зависит от дефекта, который надо спрятать:
- В случае единичного отсутствия зубов необходимо адгезивное протезирование;
- С целью сохранения эстетики передней группы зубного ряда на время изготовления протеза, потребуется фиксация «бабочки»;
- Для реставрации жевательной поверхности зуба предпочтительным будет применение вкладки;
- Чтобы восстановить эстетику передних зубов, лучшим выбором будут виниры или люминиры;
- Для сохранения коронки зуба, при сильном ее разрушении, используют штифты.

98% пациентов
Нас рекомендуют
Показания и противопоказания к установке
Необходимость фиксации микропротеза определяется стоматологом в индивидуальном порядке. При этом учитываются состояние ротовой полости, особенности зубочелюстной системы пациента, а также его пожелания.
Показаниями для применения микропротеза служат:
- Врожденные аномалии зубных рядов, попадающих в видимую зону при разговоре и улыбке
- Выраженная стираемость эмали
- Повышенная чувствительность зубов
- Повреждение дентина кариесом или в результате механического воздействия
- Наличие широких межзубных промежутков
- Неровности зубного ряда
- Пятна на эмали, которые нет возможности убрать с помощью процедуры профессиональной чистки
- Сильное разрушение коронки
- Утрата зуба
- Трещины, сколы эмали
- Наличие здорового корня при полном разрушении коронки
- Пациент страдает бруксизмом
- Имеется выраженное нарушение прикуса
- Малая глубина полости (в случае микропротезирования вкладкой)
- Имеются стоматологические патологии
- Отсутствие возможности обеспечить сухость полости или поверхности зуба
- Недостаточная гигиена ротовой полости
Как происходит процедура
Процедура микропротезирования включает следующие этапы:

Стоимость микропротезирования
Цена на восстановление зубов с помощью микропротезирования складывается из нескольких факторов. Конечная стоимость реставрации зависит от выбранной методики, способа фиксации конструкции, а также используемых материалов.
На цену оказывает влияние, как рейтинг стоматологии, так и квалификация специалистов. Стоимость процедур в клинике, расположенной в Москве дороже, чем в остальных регионах.
Прежде, чем соглашаться на процедуру, необходимо внимательно подойти к выбору стоматологической клиники.
Особенности ухода за микропротезами
В уходе за микропротезами нет никаких сложностей. Достаточно соблюдения гигиенических требований, предъявляемых к полости рта и натуральным зубам.
Уход включает:

При наличии «бабочки», конструкцию перед гигиеной ротовой полости следует извлечь изо рта и хорошо промыть под водой. Как минимум, каждую неделю, необходимо проводить обработку аптечными препаратами с дезинфицирующим действием.
Также стоматологи рекомендуют отказаться от вредных привычек. Например, если установлены виниры или люминиры, то любое механическое воздействие на них (привычка грызть ногти) может привести к повреждению пластин и потребуется замена микропротеза.
С целью профилактики рекомендуется каждые полгода посещать стоматологию. Регулярное наблюдение за состоянием ротовой полости позволит своевременно выявить начало патологического процесса и, при необходимости, назначить эффективное лечение.
Соблюдение вышеизложенных правил позволит продлить срок службы микропротеза.
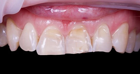
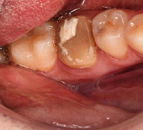
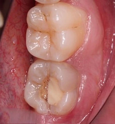
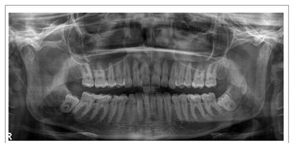
Наши работы
Почему стоит выбрать клинику Доктор Смайл
В стоматологической клинике «Доктор Смайл» в Москве проводится микропротезирование зубов. Наша клиника оснащена современным профессиональным оборудованием и имеет собственную зуботехническую лабораторию, а специалисты имеют достаточный опыт проведения подобных процедур.
Стоматологи-ортопеды в своей работе применяют инновационные технологии, целью которых является не только создание красивой улыбки, но и восстановление утраченных функций. Мы следим за качеством микропротезирования в стоматологии «Доктор Смайл», которое соответствует международным стандартам.
Наши специалисты с вниманием и заботой относятся к каждому пациенту и стремятся максимально создать комфортные условия во время лечения.
Что мы можем вам предложить:

Часто задаваемые вопросы
Может ли пациент сам выбрать вариант микропротезирования зубов?
Нет, только врач решает, какой способ восстановления зубов будет наиболее оптимальным для пациента. Решение принимается на основании данных обследования. На выбор влияет сложность клинического случая, состояние ротовой полости, а также образ жизни пациента.
Могут ли возникать осложнения?
Осложнения могут развиваться в результате некачественно проведенной манипуляции. Самыми распространенными являются: аллергическая реакция на компоненты, пульпит, кариес, воспаление мягких тканей.
Характерные симптомы развития осложнений, на которые необходимо обратить внимание, это:
- Отечность слизистой;
- Сильная головная боль;
- Наличия привкуса металла во рту;
- Изменение цвета основания конструкции;
- Дискомфорт во рту, проявляющийся жжением, зудом.
В случае появления после микропротезирования подобных симптомов, необходимо немедленно обратиться к стоматологу.
Ответы на вопросы