Откололся передний зуб
Иногда люди сталкиваются с неприятной проблемой — разрушением переднего зуба из-за механического воздействия, например, неудачного кусания твердой пищи. Трещины и сколы эмали открывают путь для проникновения бактерий, что может привести к развитию кариеса и пульпита.
Здоровье и целостность передних зубов также важны для эстетики улыбки, правильного положения мышц лица и функциональности всей челюстной системы. Что же делать, если откололся кусочек переднего зуба? Конечно, немедленно обратиться к стоматологу.

Откололась часть переднего зуба — негативные моменты такого состояния
Скол переднего зуба — это настоящий удар по самооценке и эмоциональному комфорту. Внезапно вчерашняя уверенная улыбка превращается в источник смущения и неуверенности в себе. Человек начинает прикрывать рот рукой, избегать пристальных взглядов окружающих, реже улыбаться и смеяться.
Дискомфорт не ограничивается только психологическим аспектом. Повреждение переднего зуба влечет за собой ряд патологических состояний и эстетических дефектов.
Нарушается целостность всего ряда, что может привести к смещению соседних зубов и, как следствие, нарушению прикуса. Скол эмали обнажает дентин — более мягкую ткань, которая моментально реагирует на температурные раздражители. Прием пищи превращается в пытку — горячие, холодные, кислые, сладкие блюда вызывают резкую, пронизывающую боль.
Кроме того, внезапно поврежденный зуб обычно имеет острые края, которые постоянно травмируют язык и слизистую оболочку щек. А твердая, острая или соленая пища, попадая на поврежденные мягкие ткани, вызывает болезненные ощущения.
Такой зуб становится сверхчувствительным к холодному воздуху, прикосновению щетки, и даже дыхание может вызвать неприятные ощущения в нем. Эмаль, подобно щиту, защищает внутренние ткани от внешних воздействий. Когда этот щит поврежден, зубная структура становится уязвимой и незащищенной.
Почему откалывается часть переднего зуба
На приеме у стоматолога пациенты часто задают вопрос о том, почему откололся кусочек переднего зуба — неужели он уже был чем-то ослаблен? Да, действительно, развитие кариозных процессов снижает плотность эмали, делает ее менее устойчивой к механическим нагрузкам.
Но истонченная эмаль и начинающийся кариес — это не все возможные причины. К ним относят следующие факторы и состояния:
- Дефицит минералов (фтора, кальция, магния и других). Если организм испытывает недостаток этих элементов, эмаль становится более слабой и восприимчивой к повреждениям.
- Неправильная диета. При частом употреблении твердой или тягучей еды — орехов, карамели, сухофруктов — создается дополнительная нагрузка на передние зубы.
- Проблемы с прикусом. Нарушение правильного расположения зубного ряда приводит к неправильному распределению давления при пережевывании пищи. Основная нагрузка ложится на передний зубной ряд.
- Бруксизм. Из-за этого явления тоже может отколоться передний верхний или нижний зуб. Ночной скрежет зубами вызывает сильное давление и трение, которое постепенно разрушает эмаль и провоцирует образование трещин.
- Физическое воздействие. Даже небольшие травмы (случайные удары или падение) могут повредить эмаль и привести к ситуации, когда откололся передний зуб.
- Некачественное стоматологическое лечение. Неправильно установленные пломбы или коронки могут вызывать дополнительное давление на определенные зубы.
- Воздействие температур. При резком переходе от горячего напитка к холодному создаются физические условия для образования микроскопических трещин в эмали.
- Вредные привычки. Привычка кусать ручку или ногти, открывать зубами бутылки или раскалывать орехи повышает риск появления дефектов. Пациенты с такими привычками часто обращаются к стоматологу с жалобой, что откололся кусок переднего зуба.
- Возрастные изменения. С возрастом структура эмали меняется. Она становится тоньше, что повышает риск возникновения трещин и сколов.
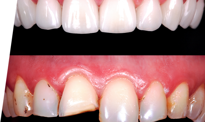
Как восстановить передний отколовшийся зуб
Когда сломался передний зуб, это потенциальная угроза для всей зубочелюстной системы. Первый шаг к восстановлению — визит к стоматологу для оценки ситуации.
Первоначально на приеме врач проведет сбор анамнеза. Это важный этап, позволяющий предположить причины, почему откололся передний зуб. Кроме того, необходимо оценить общее состояние здоровья пациента и исключить возможные противопоказания к лечению.
Стоматолог обязательно спросит о следующем:
- обстоятельства получения травмы (как именно произошел скол);
- наличие сопутствующих заболеваний;
- прием лекарственных препаратов;
- аллергические реакции.
После сбора анамнеза врач приступает к осмотру полости рта. Этот этап включает в себя визуальную оценку состояния зубного ряда, десен и слизистой оболочки.
Особое внимание уделяется:
- оценке скола (объем проблемы, ее характер);
- состоянию соседних структур и десен;
- оценке прикуса;
- проверке чувствительности отдельных единиц ряда.
Рентгенография — обязательная часть диагностики в случае, если откололся передний зуб. С помощью этого метода врач оценивает состояние корня и костной ткани, близость пульпы к сколу. Рентген помогает обнаружить скрытый кариес.
В некоторых ситуациях, когда откололась значительная часть переднего зуба и есть подозрение на разрушение корня, применяются дополнительные исследования: компьютерная томография (КТ) и электроодонтодиагностика.
После проведения всех необходимых исследований врач поставит диагноз и разработает индивидуальный план лечения.
Что будет делать врач, если у вас сломался передний зуб? Современная медицина предлагает разные методы восстановления поврежденного зуба, от небольших восстановительных процедур до комплексных вмешательств. На консультации стоматолог совместно с пациентом принимает решение, как именно восстановить отколовшийся передний зуб.
Метод выбирается с учетом размера повреждения, местоположения дефекта, текущего состояния поврежденного элемента:
- Полировка острого края. Это устранение острых краев, появившихся в результате небольших дефектов эмалевого покрытия. Специалист осторожно обрабатывает неровности специальными инструментами, смягчая контуры и возвращая зубу природную гладкость.
- Глубокое фторирование. Эта техника направлена на повышение прочности поверхностного слоя зуба и уменьшение болезненных ощущений. После обработки участка специалист наносит специализированный состав, обогащенный фтором.
- Художественная реставрация. При обширном повреждении врач поэтапно формирует недостающую часть из композитов. Каждый слой фиксируется специальным устройством, придающим твердость материалам. Такой подход помогает исправить крупные дефекты, придать нужную анатомическую форму и скрыть маленькие трещины.
- Установка виниров. На внешней стороне зуба закрепляются тонкие накладки из керамики или композитных материалов. Эти изделия помогают воссоздать первоначальную форму и окраску, а также немного исправляют его положение относительно соседних элементов.
- Использование люминиров — альтернатива традиционным винирам. Сверхтонкие накладки отличаются простотой фиксации и возможностью минимальной обработки зубов.
- Установка коронок. Искусственная коронка показана в случаях серьезных повреждений, когда остальные способы лечения бесполезны. Коронку выбирает сам пациент — металлокерамическую, из оксида циркония или фарфора.
- Адгезивные протезы («Мэриленд-мост»). Протез ставится в случае потери элемента зубного ряда, например, вследствие сильной травмы.
Чтобы уменьшить риск разрушения зубов, важно соблюдать меры профилактики:
- Исключите вредные повседневные действия (попытки открыть упаковку зубами, привычку грызть ногти, кусать ручку, раскусывать твердые продукты).
- Соблюдайте ежедневную гигиену полости рта. Не пренебрегайте использованием нити, ирригатора и специальных растворов для полоскания.
- Избегайте жесткой пищи, минимизируйте употребление кислотосодержащих продуктов питания и напитков.
- Своевременно лечите любые стоматологические болезни. Кариес и заболевания десен негативно влияют на прочность зуба и повышают вероятность механических повреждений.
- Обратитесь к врачу-ортодонту, если у вас есть подозрения на неправильный прикус.
Услуги нашей стоматологии по решению проблемы
Мы предлагаем полный спектр услуг по восстановлению отколотых передних зубов, с использованием самых современных материалов и технологий. Мы понимаем, что каждый случай уникален. Поэтому наши специалисты проводят тщательную диагностику, чтобы определить подходящий план лечения, учитывающий степень повреждения и общее состояние ряда.
Помимо восстановления эстетики переднего зуба, мы уделяем внимание профилактике осложнений и проводим профессиональную чистку ротовой полости. На консультации пациент получает рекомендации по правильному уходу за полостью рта.
Помните, что своевременное обращение к стоматологу в случае каких-либо проблем с зубами — это залог красивой улыбки и вашего здоровья на долгие годы.
Не откладывайте визит к врачу, если у вас откололся передний зуб. Запишитесь на консультацию в нашу стоматологию, и мы подберем для вас план лечения, который вернет вам уверенность в себе. Мы гарантируем индивидуальный подход, внимательное отношение и высокое качество услуг. Ваша улыбка — наша забота!
Список литературы:
- Аболмасов Н. Г., Аболмасов Н. Н., Сердюков М.С. Ортопедическая стоматология: учебн. для студ. — 11-е изд. — Москва: МЕДпресс-информ, 2020.
- Николаев А. И., Цепов Л. М. Практическая терапевтическая стоматология: учеб. пособие. — 9-е изд. — Москва: МЕДпресс-информ, 2014.
- Трезубов В. Н., Щербаков А. С., Мишнев Л. М. Ортопедическая стоматология. Пропедевтика и основы частного курса: Учебник для медицинских вузов. — Санкт-Петербург: СпецЛит, 2001.
Часто задаваемые вопросы
Внешне здоровый зуб может разрушаться изнутри, под эмалью, или из-за маленькой дырочки, незаметной глазу. Рентгеновский снимок — эффективный способ обнаружить скрытые очаги разрушения, которые не видны при визуальном осмотре.
Выбор метода лечения зависит от степени повреждения, расположения зуба и особенностей прикуса пациента. При небольших дефектах достаточно пломбы, для улучшения эстетики используются виниры, а при значительном разрушении, когда другие методы неэффективны, рекомендуется установка коронки.
С помощью современных композитных материалов можно достичь превосходных эстетических результатов. Квалифицированный стоматолог восстанавливает ряд так, что участок реставрации практически неотличим от здоровой ткани. Важное значение имеют правильно подобранный материал и техника его нанесения.
Композитные материалы по своим характеристикам приближаются к эмали, однако не являются ее полным аналогом. Они выдерживают значительные нагрузки, но требуют аккуратного обращения и регулярных профилактических осмотров. Соблюдение правил гигиены полости рта способствует увеличению срока службы реставрации.
Небольшие реставрации часто выполняют за одно посещение. При более сложных случаях, таких как лечение корневых каналов или установка коронки, требуется несколько визитов для тщательной подготовки и точной установки конструкции.
Не рекомендуется откладывать лечение даже небольшого скола. Незначительный дефект может спровоцировать развитие кариеса, дальнейшие сколы эмали и полное разрушение зуба. Своевременное обращение к специалисту поможет предотвратить серьезные осложнения.